你知道吗?最近在网上流传着一些国产种植牙失败的案例视频,看得人心惊肉跳。这些视频里,种植牙不仅没有起到应有的作用,反而给患者带来了无尽的痛苦。今天,我们就来聊聊这个话题,看看这些失败案例背后到底隐藏着什么。

首先,让我们来了解一下什么是种植牙。种植牙,顾名思义,就是将人工牙根植入牙槽骨内,以此为基础修复缺失牙齿的一种方法。它被誉为“人类的第三副牙齿”,因为其稳固性和自然度都接近真牙。
随着国产种植牙的兴起,越来越多的人选择在国内进行种植牙手术。但你知道吗?在这些看似光鲜亮丽的背后,却隐藏着不少失败的案例。

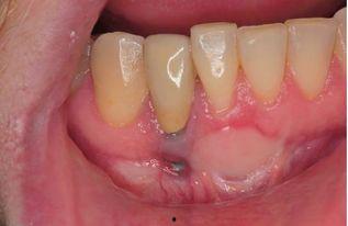
来看看这些失败的案例视频吧。视频中,一位患者痛苦地捂着嘴巴,种植牙已经松动,甚至部分脱落。另一位患者则因为种植牙感染,不得不进行二次手术。这些画面让人触目惊心,不禁让人质疑国产种植牙的质量。
那么,为什么会出现这样的问题呢?

1. 材料问题:国产种植牙的材料质量参差不齐,有些甚至存在安全隐患。一些低价的种植牙材料,可能含有重金属等有害物质,对人体健康造成威胁。
2. 技术问题:种植牙手术对医生的技术要求非常高。一些医生为了追求利益,忽视患者的实际情况,盲目进行手术,导致手术失败。
3. 术后护理:种植牙术后护理非常重要。一些患者因为术后护理不当,导致种植牙感染、松动等问题。
4. 市场监管:目前,我国对种植牙市场的监管力度还不够,一些不良商家趁机浑水摸鱼,给消费者带来安全隐患。
1. 选择正规医院:选择一家正规、有资质的医院进行种植牙手术,确保手术的安全性。
2. 选择专业医生:种植牙手术对医生的技术要求非常高,一定要选择经验丰富的医生进行手术。
3. 了解自身情况:在手术前,要充分了解自己的口腔状况,与医生进行充分沟通,确保手术方案适合自己的实际情况。
4. 术后护理:严格按照医生的要求进行术后护理,避免感染、松动等问题。
5. 关注市场动态:关注种植牙市场的动态,了解相关政策和法规,提高自己的维权意识。
种植牙虽然是一种先进的修复方式,但并非适合所有人。在选择种植牙时,一定要谨慎对待,避免陷入失败的陷阱。希望这篇文章能帮助你更好地了解种植牙,为你的口腔健康保驾护航。